Innerer Gehörgang mit Blick auf das Trommelfell
Digitales Röntgen
Wir bieten Ihnen digitales Röntgen an.
Wir bieten Ihnen digitales Röntgen an.
Im Gegensatz zum analogen Röntgen bietet die digitale Röntgentechnik verschiedene Vorteile.
So ist beispielsweise die Zeit von der Aufnahme bis zum fertigen Bild erheblich verkürzt, das Röntgenbild kann später auf dem Computerbildschirm noch bearbeitet werden und so ggf. krankhafte Befunde noch besser sichtbar gemacht werden, auch ein Vergleich mit vorherigen Bildern ist leichter möglich.
Sollte für ihr Tier eine Überweisung in eine Klinik oder zu einem Chiropraktiker anstehen, können wir die Röntgenbilder per E-Mail versenden oder Ihnen die Bilder direkt zum Mitnehmen auf CD brennen.

Endoskopie
Die Endoskopie ermöglicht die Ausleuchtung und Betrachtung von Körperhohlräumen.
In unserer Praxis haben wir die Möglichkeit mittels Endoskop den Rachenraum sowie die oberen Teile der Luft- und Speiseröhre zu inspizieren und beispielsweise Fremdkörper zu entfernen.
Oft ist es sinnvoll, unter Sichtkontrolle gezielt Gewebe- oder Sekretproben für weitere Untersuchungen zu entnehmen.

Video Otoskopie
Zur Untersuchung der äußeren Gehörgänge leistet das Video-Otoskop wertvolle Dienste.
Es ermöglicht uns den Blick ins Ohr über einen Bildschirm mit Ihnen zu teilen, um Ihnen Befunde genauer zu erläutern, sowie Bilder anzufertigen und zu speichern.

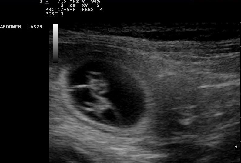
Ultraschall
Die Ultraschalluntersuchung (= Sonographie) ermöglicht die Darstellung von Körperhöhlen und Organen und stellt eine wertvolle Ergänzung zu weiteren diagnostischen Verfahren dar. Neben der bildlichen Untersuchung sämtlicher Organe in Brust- und Bauchraum können ggf. unter Ultraschallkontrolle Gewebe-, Zell- und Flüssigkeitsproben entnommen werden.
Im Brustraum schränkt die in der Lunge vorhandene Luft die Möglichkeiten des Ultraschalls ein. Dennoch ist die Sonographie des Herzens von besonderer Bedeutung.
Sie ermöglicht eine detaillierte Darstellung der Herzinnenstrukturen, aber auch von Ergüssen im Herzbeutel und Tumoren.
In unserem Hause führt unsere kompetente Ultraschallexpertin Fr. Dr. Götzke nach terminlicher Absprache die sonographischen Untersuchungen, sowie EKG und Blutdruckmessungen durch.

